Per la prima volta
identificate microplastiche
nelle placche delle arterie umane

ANCONA - Lo studio è stato pubblicato oggi su "The New England Journal of Medicine". Rischio almeno raddoppiato di infarto e ictus

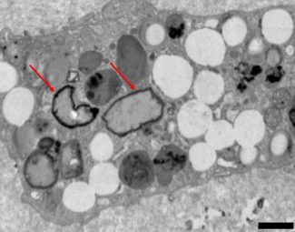
Nella foto: Le frecce indicano microplastiche all’interno di una cellula macrofagica che si trova nella placca ateromatosa

E’ stato pubblicato oggi sulla prestigiosa rivista “The New England Journal of Medicine” uno studio coordinato dal prof. Giuseppe Paolisso dell’Università della Campania “Luigi Vanvitelli” e presidente del Civ dell’Irccs Inrca, in collaborazione con numerosi enti di ricerca italiani ed esteri, tra cui Harvard Medical School di Boston, dell’Ircss Multimedica Milano, le Università Politecnica delle Marche (UnivPm), Sapienza e Salerno, e l’Ircss Inrca di Ancona, che mette in evidenza per la prima volta la presenza di micro e nanoplastiche nelle placche aterosclerotiche umane, evidenziando la pericolosità di tali inquinanti per la salute dell’uomo.
Lo studio italiano è accompagnato da un editoriale della rivista che definisce la scoperta “rivoluzionaria” perché fornisce per la prima volta la prova che le microplastiche e le nanoplastiche ingerite o inalate sono associate a esiti di malattie cardiovascolari nell’uomo, indicando che le materie plastiche hanno costi sempre più elevati, ormai visibili, per la salute umana e l’ambiente.
Le micro e nanoplastiche, onnipresenti, attaccano anche il cuore con effetti dannosi fino ad oggi sconosciuti e mai riscontrati prima. Dopo averle trovate nell’uomo in diversi organi e tessuti, tra cui la placenta, il latte materno, fegato e polmoni, compresi i tessuti cardiaci, uno studio italiano rivela, per la prima volta, la loro presenza perfino nelle placche aterosclerotiche, depositi di grasso nelle arterie pericolose per il cuore e fornisce soprattutto prova inedita della loro pericolosità.

I dati raccolti mostrano infatti che le placche aterosclerotiche “da inquinamento” sono anche più infiammate della norma, quindi, più friabili ed esposte a rischio di rottura con un aumento almeno 2 volte più alto del rischio di infarti, ictus e mortalità rispetto a placche aterosclerotiche che non sono inquinate di nano-plastica. Lo ha verificato un ampio studio italiano che dimostra come le placche aterosclerotiche contengano spesso micro e nanoplastiche a base di polietilene (Pe, rilevato nel 58.4% dei casi) o polivinilcloruro (o Pvc, individuato nel 12.5% dei casi), due dei composti plastici di maggior consumo nel mondo, utilizzati per realizzare prodotti che vanno dai contenitori ai rivestimenti, dalle pellicole plastificate a materiali per l’edilizia.

Lo studio è stato condotto su 257 pazienti con oltre 65 anni sottoposti ad endoarterectomia per stenosi carotidea asintomatica. Durante tale procedura sono state rimosse le placche aterosclerotiche che sono state successivamente analizzate con metodi chimici per la quantificazione e al microscopio elettronico con una tecnica innovativa basata sulla spettrometria a raggi X per la localizzazione. Laura Graciotti e Gianluca Fulgenzi, ricercatori dell’Università Politecnica delle Marche UnivPm, hanno per la prima volta identificato in maniera univoca la presenza di micro e nanoplastiche localizzandole all’interno delle placche aterosclerotiche.
«Uno degli obiettivi delle Università è la ricerca, fortemente collegato alla didattica e alla Terza Missione – afferma il rettore dell’UnivPm, Gian Luca Gregori – il suo ruolo è determinante per il territorio e per la comunità, generando un impatto dal punto di vista sociale, economico e per la salute e il benessere delle persone. Lo studio, inoltre, mostra l’importanza della collaborazione e del lavoro, proficuo e sinergico, di ricercatrici e ricercatori di Atenei e di enti di ricerca».
Gianluca Fulgenzi, ricercatore del dipartimento di Scienze Cliniche e Molecolari della Facoltà di Medicina e Chirurgia UnivPm commenta: «Per la prima volta in assoluto utilizzando una tecnica innovativa messa a punto da noi, abbiamo potuto visualizzare nanoplastiche in materiale umano e localizzarle con precisione in comparti anatomici ben definiti».

© RIPRODUZIONE RISERVATA

Torna alla home page




X